메디컬아이피, 해부학 구조물 자동 분할 AI 모듈 30종 출시

간, 폐, 췌장, 동맥, 갑상선 등 자동 분할하는 AI 기술 개발 완료

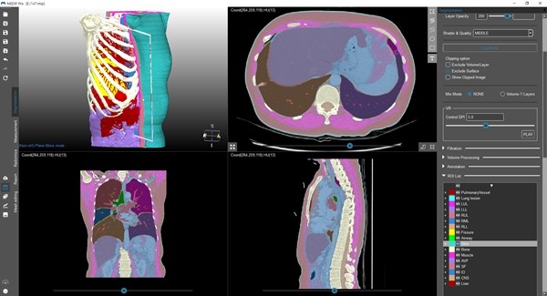
메딥 AI를 통해 자동 분할된 구조물의 모습
 

메디컬아이피(대표이사·박상준)가 CT 영상에서 30가지 해부학 구조물을 자동 분할하는 AI 모듈을 출시했다고 5일 밝혔다. 회사는 해당 AI 모듈을 AI 의료영상 분할·분석 소프트웨어 메딥프로(MEDIP Pro)에 탑재해 제품경쟁력을 대폭 강화한다.

해당 AI 모듈을 활용하면 의료진은 클릭 한 번으로 수 초에서 수 분만에 수백 장의 CT에서 Airway(기도), Artery(동맥), Liver(간), Lung(폐), Pancreas(췌장), Spleen(비장), 뼈(Bone), 체성분(Body Composition) 등 다양한 해부학 구조물을 자동으로 분할할 수 있으며, 해당 영역의 정량화된 정보까지 얻을 수 있다.

나아가 소프트웨어 내에서 자동 분할 결과물을 손쉽게 Mesh 형태로 변환할 수 있고 디자인까지 가능해 VR·AR및 메디컬 메타버스에 활용하거나 의료용 3D프린팅 모델을 제작할 수 있으며, 각 구조물과 병변에 대한 라디오믹스((Radiomics): 의료 분야에서 데이터 특성화 알고리즘을 활용해 의료 영상에서 다양한 특징을 추출하는 방법) 정보 분석까지 가능하다.

회사측은 "특정 장기 영역을 설정하는 즉시 3D 구현, AI 분할, 정량적 분석까지 수행하고 이를 가상증강현실까지 연결해주는 의료 AI 소프트웨어는 국내외를 통틀어 메딥프로가 유일하다"며 "딥러닝 기반의 정확, 정밀한 AI 분할 기능에서 한 차원 나아가 영상의학 전문의가 아니더라도 모든 의료진이 니즈에 맞춰 해부학 구조물을 분할할 수 있도록 하는 AI 기술을 개발하는 데 주력했다"고 설명했다.

실제로, 메디컬아이피는 이번 AI 모듈 개발 과정에서 영상의학과는 물론 내분비외과, 내분비내과, 신경외과, 신장외과, 흉부외과, 방사선종양학과, 정형외과 등 다수 진료과 의료진의 자문을 받으며 기술의 완성도와 소프트웨어 활용 용이성을 극대화하는 데 만전을 기했다.

히, 이 과정에서 회사가 보유한 데이터 레이블링((Data Labeling) : 영상에서 객체의 위치, 크기 등을 기록해 인공지능 학습용 데이터를 제작하는 작업) 역량이 십분 발휘됐다. 해부학 특화 인력으로 구성된 의료영상 전문 조직이 50여 편의 SCI 논문으로 검증된 메딥프로의 고차원 영상처리 및 딥러닝 기술을 활용해 CT 영상에서 타깃 구조물을 분할하는 작업을 내재화함으로써 양질의 AI 학습 데이터를 확보할 수 있었기 때문이다.

회사는 이러한 기술경쟁력을 토대로 이번에 출시하는 30종 외 보다 다양하고 정밀하게 해부학 구조물을 분할할 수 있는 후속 AI 모듈 10여 종의 개발을 진행 중이며, 철저한 의료진 검증을 거친 후 반기별 업데이트를 진행한다는 계획이다.

이에 대해 박상준 대표이사는 "대부분의 의료 AI 소프트웨어가 특정 질환을 진단하는 진단보조의 역할을 수행해 영상의학과에서 주로 활용되는 데 반해 메디컬아이피의 기술은 의료영상을 접하는 모두가 해당 소재를 보다 편리하고 쉽게 활용할 수 있게 하는 기술로, 이를 통해 새로운 시장 접근이 용이할 것"이라며 "가장 진보한 AI 자동 분할 기술력을 앞세워 의료영상을 다루는 국내외 모든 기관으로 세일즈 타깃을 확대하고 이를 통해 K-의료 AI 선도기업으로 자리매김하겠다"고 포부를 전했다.

 


김아름 기자의 전체기사 보기
  • 이 기사를 공유해보세요  
  • 카카오톡
  • 네이버
  • 페이스북
  • 트위치