연세굿데이치과, 재발률 줄이는 '개방교합 턱관절교정' 치료법 제시

김혜란 기자 2024.08.30 17:53:56

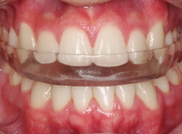
저작근육을 이완시켜 턱관절의 눌림을 줄여주는 CRS 스플린트 교정장치

연세굿데이치과는 개방교합 문제를 겪는 환자들을 위해 정확한 원인분석을 바탕으로 교정과, 구강외과 전문의가 공동 협진해 치료계획을 세우고 있다고 전했다.

턱관절 질환으로 턱관절에 퇴행성 변화가 생기면 아래턱이 후퇴하면서 잘 물리던 앞니가 점점 뜨는 현상이 나타난다. 턱관절 검사 결과, 오랫동안 지속된 턱관절의 염증이 있거나 퇴행성관절염 소견이 '진행성'으로 보이는 경우 치아교정 전 턱관절 치료를 반드시 받아야 한다는 것.

그렇다면 개방교합의 원인은 무엇일까? 결론부터 말하자면 골격, 치아, 습관, 턱관절 등 크게 4가지 원인으로 구분된다. 개방교합은 턱관절 질환에 대한 진단과 치료가 선행돼야 하기 때문에 교정과와 외과가 협진하는 치과에서 검사받아야 번거로운 일을 줄일 수 있다.

연세굿데이치과 의료팀은 "개방교합 치료의 필요성은 '진행여부'와 '저작패턴'에 따라 달라진다. 오랜기간 지속된 턱관절의 염증이나 통증으로 디스크가 빠지게 되면 디스크 두께만큼 아래턱의 위치가 변하게 돼 얼굴이 길어지거나 교합변화, 안면비대칭과 같은 문제점이 발생될 수 있다"며 "또한 개방교합은 앞니가 떠있는 상태이기 때문에 저작하며 발생하는 모든 압력이 상대적으로 어금니에 몰리게 되는데, 이때 평소 저작하는 힘이 강하고, 단단한 음식을 자주 섭취하는 편이라면 어금니에 과도한 힘이 가해져 마모 되거나 깨질 수도 있다"고 설명했다.

턱관절의 퇴행성관절염은 보통 10대 중후반이나 여성들에게 많이 나타나는데 때로는 증상없이 자연치유되는 경우도 있지만 나이가 들면서 개방교합이 숨어있다가 갑자기 나타나는 경우도 있어 미리 진단을 받아보는 것도 중요하다.

만일 ▲턱관절 부위 통증이 있거나 ▲입이 잘 안 벌어짐 ▲입 벌릴 때 턱관절에서 소리가 남 ▲귀 앞쪽이 아프고 '삐' 소리가 들림 ▲안면비대칭이나 개방교합이 점점 심해짐 등의 증상에서 1가지라도 해당된다면 턱관절 장애를 의심해볼 수 있다.

물론 턱관절이 일시적으로 무리해서 생긴 증상이라면 처방된 약을 복용하고 쉬는 것만으로도 해결될 수 있다. 하지만 오랜기간 지속된 증상이라면 턱관절에 비정상적인 힘이 계속 가해진 것으로 치료가 필요하다.

연세굿데이치과 의료팀은 "개방교합의 우선적인 치료옵션은 트랙션이다. 턱관절의 디스크가 뻐지거나 턱관절의 뼈가 녹으면 턱의 길이는 수직적으로 짧아지게 된다. 이때 짧아진 턱은 트랙션으로 개선이 가능하다"며 "우선 틀어진 턱관절을 강제로 견인시켜 짧아진 부위를 원래 길이대로 늘려주면서 늘어난 부위에 굳은살 같은 대체디스크가 채워지도록 유도시킨다"고 설명했다.

트랙션(악간견인장치)은 개방교합과 퇴행성 관절염을 치료하는 장치로서 옆면에 있는 고리에 위아래로 고무줄을 걸어 치료하는 원리다.

연세굿데이치과 의료팀은 이어 "두 번째는 CRS 스플린트와 치아교정의 진행이다. CRS 스플린트의 경우 치아교정 계획이 필요할 때 시행되며, 저작근육을 이완시켜 턱관절의 눌림을 줄여주는 원리다. 이는 투명한 플라스틱 재질로 밤에 잘 때만 착용하면 장치 두께만큼 눌려있던 턱관절이 완화되는 효과가 있다. 머슬메모리(Muscle memory)의 상실을 유발해 인위적인 턱의 위치를 지우고 자연스럽고 편안한 위치로 리셋하는 원리다. 이렇게 본래의 위치로 턱이 리셋되면 이후에 치아교정을 통해 완전한 교합을 형성해 준다"고 전했다.

턱관절성 개방교합은 재발이 잘되기 때문에 치료 후에도 잘 유지되는 것이 중요하다. 근육의 변화가 활발한 젊은 연령(30세 미만)은 재발률이 높은 편이다. 그래서 주기적인 관리가 무엇보다 중요하다.

연세굿데이치과 의료팀은 "턱관절 질환으로 인한 개방교합 교정 케이스에 한해 일반 교정 유지장치가 아닌 트랙션 장치를 통한 유지관리의 시행이 도움이 될 수 있다. 개방교합은 질환 자체의 특수성 때문에 정확한 진단을 통해 치료를 해야만 재발을 줄일 수 있다. 시간이 지날수록 여러가지 문제점을 유발하는 질환인 만큼, 증상에 근거한 자가 진단보다는 전문의 의료진을 통해 체계적인 접근이 무엇보다 중요하다"고 전했다.

 

  • 카카오톡
  • 네이버
  • 페이스북
  • 트위치
맨 위로